1209 Dundee Avenue Elgin, IL 60120
Bruxism
Bruxism is an oral parafunctional activity. It occurs to many individuals during their lives. It represents grinding of the teeh and clenching of the jaw. It occurs during the day or night. It is known that bruxism does most of the damage during the night hours. It is also a symptom of malfunctionig chewing reflex which is turned off during the sleep in non sufferers. For sufferers, sleep or even a nap can cause the reflex nerve control center in the brain to turn off making the reflex pathways active.
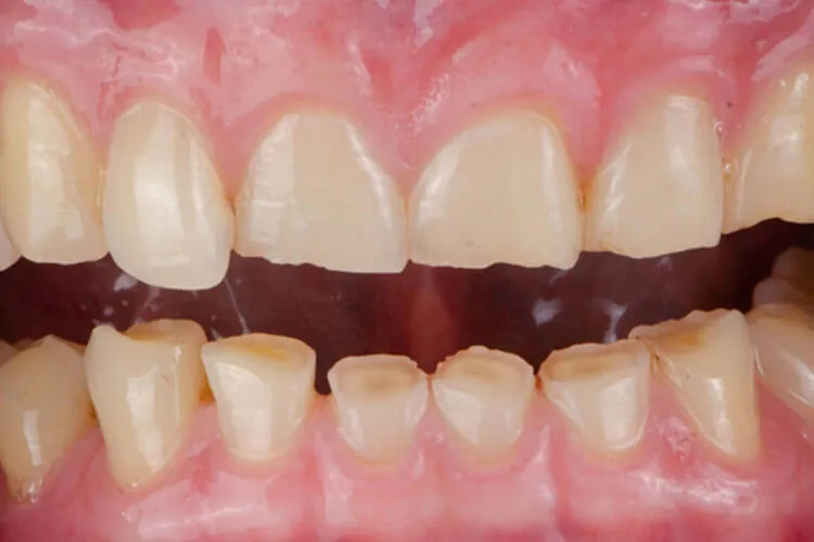
Commonly, incisors and canines of opposing arches grind against each other laterally. This side to side action puts strain on the medial pterygoid muscles and the temporomandibular joints. Earache, depression, headaches, eating disorders and anxiety are amongst the most common symptoms of bruxism. Bruxism is only one of several causes of tooth wear, which is why it is not often diagnosed.
A BiteStrip® is an economical device used to diagnose bruxism at home. The device itself is a small electromyography which senses and monitors any activity in the jaw muscles during sleep. The frequency and severity of the condition can then be assessed and the best treatment plan can be formulated.
Reasons for the bruxism treatment
These are some of the main reasons why bruxism should be promptly treated:
Gum recession and tooth loss – Bruxism is one of the leading causes of gum recession and tooth loss. It damages the soft tissue directly, and it leads to loose teeth and deep pockets
Occlusal trauma – The abnormal wear patterns on the occlusal surfaces can lead to fractures in the teeth.
Arthritis – In severe and chronic cases, bruxing can eventually lead to painful arthritis in the temporomandibular (TMJ)
Myofascial pain – The grinding associated with bruxism can eventually shorten and blunt the teeth. This can lead to muscle pain in the myofascial region and headaches.
Treatment options for bruxism
There is no single cure for bruxism, though a variety of helpful devices and tools are available. Here are some common ways in which bruxism is treated:
Mouthguards – An acrylic mouthguard can be designed from tooth impressions to minimize the abrasive action of tooth surfaces during normal sleep.
NTI-tss device – This device is fitted by a health professional and only covers the front teeth.
Botox® – Botox® can be injected into the muscles to relax and weaken them.
Other methods of treatment include relaxation exercises, stress management education and biofeedback mechanisms.
Office Hours
| Monday | 10:00 to 6:00 |
| Tuesday | 10:00 to 6:00 |
| Wednesday | 11:00 to 8:00 |
| Thursday | 10:00 to 6:00 |
| Friday | 10:00 to 6:00 |
| Saturday | 8:00 to 3:00 |
| Sunday | Appointment only |



Recent Comments