1209 Dundee Avenue Elgin, IL 60120
Cracked Tooth Pain: Symptoms, Dangers, and How to Fix It

Understanding and Treating Cracked Tooth Pain: Causes, Symptoms, and Solutions
A cracked tooth can start as a minor issue but quickly turn into a source of significant discomfort. If you’re experiencing cracked tooth pain, understanding what’s happening and how to treat it can make all the difference in preserving your smile and oral health. At Smiles of Elgin, our experienced dental team specializes in diagnosing and repairing cracked teeth to relieve pain and prevent further complications.
What Causes Cracked Tooth Pain?
Cracked teeth can develop for several reasons, often related to everyday habits and natural wear. Some common causes include:
- Biting hard objects: Chewing ice, hard candy, or unpopped popcorn kernels can cause fractures.
- Bruxism (teeth grinding): Chronic grinding places stress on enamel, leading to cracks.
- Trauma or injury: Sports accidents, falls, or car collisions may cause visible or internal tooth fractures.
- Large fillings: Weakened teeth with large restorations are more prone to cracking.
- Sudden temperature changes: Consuming something hot and then cold in quick succession can stress enamel.
When a crack forms, it can extend into the inner layers of the tooth, exposing nerves and leading to cracked tooth pain that can range from mild sensitivity to severe, sharp discomfort.
Signs and Symptoms of Cracked Tooth Pain
Recognizing the symptoms early helps prevent extensive damage. Here are the most common signs that may indicate a cracked tooth:
- Sharp pain when chewing or biting down
- Sensitivity to hot, cold, or sweet foods
- Intermittent pain that comes and goes
- Discomfort around a particular tooth with no visible cavity
- Swelling around the affected tooth
Because cracks can be microscopic or hidden beneath the gum line, only a professional dental examination can confirm the diagnosis.
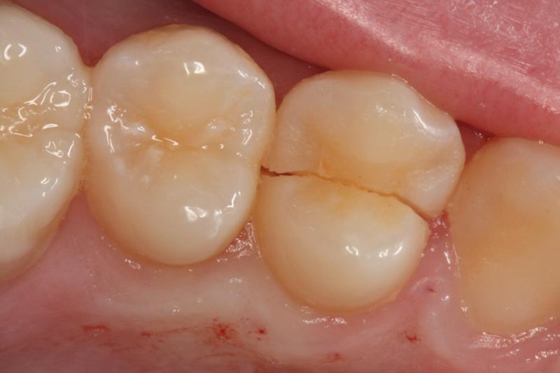
Types of Tooth Cracks and Their Severity
Not all cracks are the same, and understanding the type of fracture helps determine the best treatment.
Hairline Cracks
These small, surface-level fractures usually affect only the enamel. While they might not always cause pain, they can lead to sensitivity if left untreated.
Fractured Cusp
This occurs when a portion of the chewing surface breaks off, often around a filling. It may not always cause intense cracked tooth pain, but it does require attention to prevent further damage.
Split Tooth
A more serious condition, a split tooth happens when a crack runs from the surface down to the root. Treatment depends on the extent of damage—sometimes requiring extraction or root canal therapy.
Vertical Root Fracture
These cracks begin below the gum line and move upward, often showing minimal symptoms until infection sets in.
Diagnosing Cracked Tooth Pain
Because cracks can be difficult to detect with the naked eye, dentists use several diagnostic methods, including:
- Visual examination: Using magnification and lighting to identify visible fractures.
- Dental dye tests: Applying dye to highlight hidden cracks.
- X-rays: While cracks might not always appear, X-rays can reveal related issues like nerve damage.
- Bite tests: Having patients bite down on a dental instrument to locate the pain’s source.
At Smiles of Elgin, we use advanced diagnostic technology to pinpoint even the smallest fractures and recommend the most effective solutions.
Effective Treatments for Cracked Tooth Pain
Treatment for a cracked tooth depends on the severity and location of the fracture. Early intervention can often save the tooth and prevent infection.
Dental Bonding
For small, surface-level cracks, bonding can restore the tooth’s appearance and function. A resin material is applied, shaped, and hardened to protect the enamel and alleviate discomfort.
Dental Crowns
When a larger portion of the tooth is compromised, a crown can provide strength and protection. Crowns cover the entire tooth, preventing the crack from spreading and reducing cracked tooth pain.
Root Canal Therapy
If a crack extends into the pulp (nerve tissue), root canal treatment removes the damaged nerve, seals the tooth, and eliminates infection risk. This is often necessary when pain becomes persistent or severe.
Tooth Extraction and Replacement
In cases where the crack extends below the gum line or splits the tooth completely, extraction may be the only solution. After removal, replacement options such as dental implants or bridges can restore both appearance and function.
Preventing Future Cracks and Pain
Once you’ve dealt with cracked tooth pain, prevention becomes a top priority. Here are some ways to protect your teeth going forward:
- Avoid biting hard foods or objects.
- Wear a mouthguard if you grind your teeth or play contact sports.
- Don’t use your teeth as tools to open packages.
- Maintain regular dental visits for checkups and cleanings.
- Address minor dental issues before they escalate into cracks.
With proper care and professional monitoring, most patients can avoid recurring fractures and maintain strong, healthy smiles.
Why Choose Smiles of Elgin for Cracked Tooth Treatment?
Our practice is committed to helping patients in Elgin and the surrounding communities find lasting relief from dental discomfort. We combine modern technology, gentle techniques, and personalized care to make your experience as comfortable as possible.
From diagnosis to treatment and aftercare, our team ensures that your cracked tooth is repaired efficiently and effectively. If you’re experiencing pain or sensitivity, it’s important not to delay treatment—early action often prevents more complex dental issues.
Contact Us Today for Relief from Cracked Tooth Pain
Don’t let cracked tooth pain affect your daily life. The sooner you seek care, the better your chances of saving the tooth and relieving discomfort. Call 847-695-3368 or visit smilesofelgin.com to schedule an appointment today. Our compassionate team at Smiles of Elgin is here to help restore your comfort and confidence—one smile at a time.
Office Hours
| Monday | 10:00 to 6:00 |
| Tuesday | 10:00 to 6:00 |
| Wednesday | 11:00 to 8:00 |
| Thursday | 10:00 to 6:00 |
| Friday | 10:00 to 6:00 |
| Saturday | 8:00 to 3:00 |
| Sunday | Appointment only |



Recent Comments